BEFORE AND AFTER
Behind every smile is a story.
A story of restoration, new found confidence, and a whole lot more happy smiles.What will your story be?




Laura
A beautiful and natural smile achieved through a combination of porcelain crowns, bridges and veneers.





Jessica
All top teeth were repaired with a combination of porcelain veneers and crowns. A natural and healthy smile achieved.










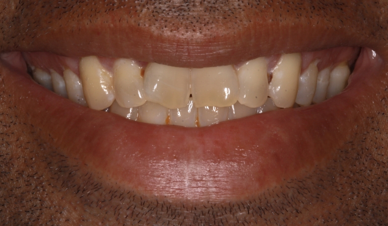
Patient 12
Stained, worn and damaged teeth replaced with a combination of porcelain veneers and 1 implant to ensure he’ll never hide his smile again.





Patient 13
An extensive full mouth rehabilitation with a combination of crowns and veneers to restore her smile to naturally fit her face shape, age and colourings. Perfect!





Patient 9
10 conservative porcelain veneers placed on her front teeth. Smile rejuvenated to look younger and brighter.





Patient 11
After surgical extraction of the damaged teeth, a porcelain bridge was used to replace his missing front teeth. Smile transformed!





Patient 10
Replacement of old composite resin veneers with 6 conservative porcelain veneers placed to blend in with her natural teeth.





Patient 4
Full mouth rehabilitation with porcelain crowns to repair severely decayed teeth. Her smile transformation brought her confidence to begin a new career.





Patient 5
Top and bottom porcelain crowns and veneers to alter the bite, close the open bite and help this patient smile confidently again.





Patient 7
Composite resin fillings and conservative porcelain veneers on front 6 teeth to achieve a fresh natural smile.





Patient 6
Porcelain veneers of both top and bottom teeth. A bright, happy smile to match a bright personality.





Patient 3
10 porcelain veneers to completely transform discoloured and mismatched teeth.
Now she's confident to smile again.





